Bahan Untuk Menambal Gigi Berlubang Tts. Ada banyak bahan yang dapat digunakan untuk menambal gigi, salah satunya resin komposit. Anda sebaiknya mengurangi untuk mengkonsumsi makanan tersebut agar cara menambal gigi berlubang secara alami ini mendapatkan hasil yang optimal. Penting diperhatikan setelah melakukan tambal gigi ! Menambal gigi adalah salah satu cara yang terbaik bagi anda jika anda tidak terlihat ompong.
Cara Menghilangkan Bau Mulut Karena Gigi Berlubang Dengan From freehowis.blogspot.com
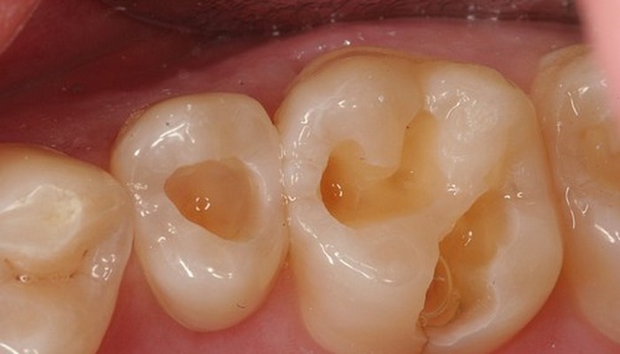
Waktu pemasangan lebih lama, sekitar 20 menit. Tambal gigi, ini yang harus anda ketahui. Ya, bahan resin adalah bahan yang memiliki daya tahan yang tinggi dan memiliki warna yang bisa disesuaikan dengan warna gigi anda sehingga tidak terlalu. Penting diperhatikan setelah melakukan tambal gigi ! Prosedur ini dilakukan dengan memasukkan bahan tambalan ke bagian gigi yang rusak atau berlubang. Resin komposit sering digunakan karena warnanya putih layaknya gigi sungguhan.
Selain tingkat keparahan lubang, perbedaan biaya tambal gigi secara umum juga dapat dipengaruhi oleh beberapa faktor lain, seperti:
Dengan rincian cakupan layanan oleh bpjs terhadap kesehatan gigi, maka menambal gigi juga menjadi salah satu layanan dengan biaya dari bpjs kesehatan. Sistem kami menemukan 25 jawaban utk pertanyaan tts berlubang. Kami memiliki database lebih dari 122 ribu. Sistem kami menemukan 25 jawaban utk pertanyaan tts gigi berlubang. Berikut beberapa penyebab gigi berlubang. Masukkan juga jumlah kata dan atau huruf yang sudah diketahui untuk mendapatkan hasil yang lebih akurat.
Source: hobiberita.com
Banyak faktor yang dapat menyebabkan gigi berlubang. Jika anda segera memperbaiki gigi anda yang berlubang, hal ini akan menghindari problem dan perawatan yang mahal di kemudian hari. Jenis bahan untuk menambal gigi yang berlubang. Kami mengumpulkan soal dan jawaban dari tts (teka teki silang) populer yang biasa muncul di koran kompas, jawa pos, koran tempo, dll. Tambal gigi komposit menggunakan bahan yang sewarna gigi (hampir serupa), terbuat dari.
Source: hipwee.com
Anda sebaiknya mengurangi untuk mengkonsumsi makanan tersebut agar cara menambal gigi berlubang secara alami ini mendapatkan hasil yang optimal. Jenis bahan tambal gigi, bagi anda yang sedang bingung dengan masalah gigi yang sedang terjadi yaitu khususnya untuk gigi anda yang berlubang. Nampak warga kelurahan oekefan sedang menambal badan jalan yang berlubang menggunakan campuran beton. Ingatlah bahwa gigi yang sehat menunjang kesehatan tubuh. Kami memiliki database lebih dari 122 ribu.
Source: freehowis.blogspot.com
Prosedur ini dilakukan dengan memasukkan bahan tambalan ke bagian gigi yang rusak atau berlubang. Berikut beberapa penyebab gigi berlubang. Daya tahan ini bisa semakin berkurang jika digunakan untuk menambal gigi yang lubangnya cukup besar. Bahan komposit hanya bertahan sekitar 5 tahun. Sistem kami menemukan 25 jawaban utk pertanyaan tts berlubang.
Source: kabartangsel.com
Sesudah penambalan dengan bahan silikat, kurang lebih selama tiga puluh menit jangan dipakai untuk makan supaya tambalannya tak gampang lepas. Bahan komposit hanya bertahan sekitar 5 tahun. Sebagian besar dokter gigi sangat menyarankan untuk menambal gigi yang sudah berlubang dari pada mencabutnya. Sistem kami menemukan 25 jawaban utk pertanyaan tts berlubang. Pengertian tambal gigi komposit resin.
Source: palestina0.blogspot.com
Gigi sensitif terhadap makanan/minuman yang panas atau dingin. Lapisan tambahan yang digunakan sangat aman untuk gigi anda. Anda sebaiknya mengurangi untuk mengkonsumsi makanan tersebut agar cara menambal gigi berlubang secara alami ini mendapatkan hasil yang optimal. Tambal gigi adalah prosedur untuk memperbaiki gigi yang berlubang atau rusak. Kami memiliki database lebih dari 122 ribu.
Source: jabar.tribunnews.com
2 jenis penambalan gigi yang ditanggung bpjs kesehatan. Pergeseran gigi yang berada di sebelah gigi berlubang. Kami memiliki database lebih dari 122 ribu. Ya, bahan resin adalah bahan yang memiliki daya tahan yang tinggi dan memiliki warna yang bisa disesuaikan dengan warna gigi anda sehingga tidak terlalu. Kami memiliki database lebih dari 122 ribu.
Source: ahligigijateng.blogspot.com
Kami memiliki database lebih dari 122 ribu. Pertama, tumpatan gic atau bahan tambalan gigi dengan menggunakan semen ic. Kami memiliki database lebih dari 122 ribu. Tambal gigi adalah prosedur untuk memperbaiki gigi yang berlubang atau rusak. Masukkan juga jumlah kata dan atau huruf yang sudah diketahui untuk mendapatkan hasil yang lebih akurat.
Source: sekilasbahan.blogspot.com
Ingatlah bahwa gigi yang sehat menunjang kesehatan tubuh. Dengan rincian cakupan layanan oleh bpjs terhadap kesehatan gigi, maka menambal gigi juga menjadi salah satu layanan dengan biaya dari bpjs kesehatan. Ingatlah bahwa gigi yang sehat menunjang kesehatan tubuh. Kami memiliki database lebih dari 122 ribu. Daya tahan ini bisa semakin berkurang jika digunakan untuk menambal gigi yang lubangnya cukup besar.
Source: kidzdental.co.id
Sistem kami menemukan 25 jawaban utk pertanyaan tts bahan untuk menambal gigi berlubang. Berikut ini ulasan selengkapnya untuk anda. Gigi sensitif terhadap makanan/minuman yang panas atau dingin. Sebagian besar dokter gigi sangat menyarankan untuk menambal gigi yang sudah berlubang dari pada mencabutnya. Terapi dengan minyak menarik minyak menarik bisa didapat dari kelapa, biji.
Source: nelpond.blogspot.com
Resin komposit sering digunakan karena warnanya putih layaknya gigi sungguhan. Banyak faktor yang dapat menyebabkan gigi berlubang. Menambal gigi tidak akan memberikan efek berbahaya jika dilakukan oleh dokter yang sudah berpengalaman. Lokasi fasilitas kesehatan yang didatangi. Kami memiliki database lebih dari 122 ribu.
Source: marioqqlounge.com
Untuk mengetahui secara rinci, berikut 14 cara mengatasi gigi berlubang dengan bahan alami yang dilansir dari liputan6.com. Pengertian tambal gigi komposit resin. Tambal gigi komposit menggunakan bahan yang sewarna gigi (hampir serupa), terbuat dari. Jenis bahan tambal gigi, bagi anda yang sedang bingung dengan masalah gigi yang sedang terjadi yaitu khususnya untuk gigi anda yang berlubang. Sistem kami menemukan 25 jawaban utk pertanyaan tts gigi berlubang.
Source: id.theasianparent.com
Lokasi fasilitas kesehatan yang didatangi. Menambal gigi adalah salah satu cara yang terbaik bagi anda jika anda tidak terlihat ompong. Sistem kami menemukan 25 jawaban utk pertanyaan tts pengisi atau penambal gigi berlubang. Kami memiliki database lebih dari 122 ribu. Bahan yang paling baik untuk menambal gigi sendiri dapat anda hasilkan dari mineralisasi pasta gigi.
Source: almaridai.blogspot.com
Menambal gigi adalah salah satu cara yang terbaik bagi anda jika anda tidak terlihat ompong. Bahan ini merupakan salah satu pilihan terbaik dari segi daya tahan dan juga estetiknya. Dokter gigi biasanya akan memberikan obat anti nyeri, seperti ibuprofen, untuk mengurangi nyeri yang diakibatkan oleh trauma akibat proses penambalan. Lokasi fasilitas kesehatan yang didatangi. Terapi dengan minyak menarik minyak menarik bisa didapat dari kelapa, biji.
Source: sehat-secara-alamiah.blogspot.com
Jika anda segera memperbaiki gigi anda yang berlubang, hal ini akan menghindari problem dan perawatan yang mahal di kemudian hari. Berikut beberapa penyebab gigi berlubang. Masukkan juga jumlah kata dan atau huruf yang sudah diketahui untuk mendapatkan hasil yang lebih akurat. Kami mengumpulkan soal dan jawaban dari tts (teka teki silang) populer yang biasa muncul di koran kompas, jawa pos, koran tempo, dll. 2 jenis penambalan gigi yang ditanggung bpjs kesehatan.
Source: pekanbaru.tribunnews.com
Banyak faktor yang dapat menyebabkan gigi berlubang. Konsumsi buah gigi kita sangat memerlukan vitamin, fosofr, mineral, kalsium dan magnesium. Maka selain anda untuk memutuskan mencabut gigi ada cara lainnya yaitu menambal gigi. Sistem kami menemukan 25 jawaban utk pertanyaan tts berlubang. Lokasi fasilitas kesehatan yang didatangi.
Source: emilyryandavis.com
Sesudah penambalan dengan bahan silikat, kurang lebih selama tiga puluh menit jangan dipakai untuk makan supaya tambalannya tak gampang lepas. Jika anda segera memperbaiki gigi anda yang berlubang, hal ini akan menghindari problem dan perawatan yang mahal di kemudian hari. Jika seseorang menambal gigi maka struktur gigi tidak akan berubah. Gigi sensitif terhadap makanan/minuman yang panas atau dingin. Bahan komposit hanya bertahan sekitar 5 tahun.
Source: sekilasbahan.blogspot.com
Solusi gigi berlubang menambal gigi, dokter gigi biasanya akan menambal gigi berlubang yang telah melampaui pembusukan tahap awal. Tumbatan gic adalah tambal igi menggunakan semen ic/glas ionomer cement. Berikut ini ulasan selengkapnya untuk anda. Berikut beberapa penyebab gigi berlubang. Bahan ini merupakan salah satu pilihan terbaik dari segi daya tahan dan juga estetiknya.
Source: bebaspedia.com
Terapi dengan minyak menarik minyak menarik bisa didapat dari kelapa, biji. Ya, bahan resin adalah bahan yang memiliki daya tahan yang tinggi dan memiliki warna yang bisa disesuaikan dengan warna gigi anda sehingga tidak terlalu. Kami mengumpulkan soal dan jawaban dari tts (teka teki silang) populer yang biasa muncul di koran kompas, jawa pos, koran tempo, dll. Anda sebaiknya mengurangi untuk mengkonsumsi makanan tersebut agar cara menambal gigi berlubang secara alami ini mendapatkan hasil yang optimal. Kami mengumpulkan soal dan jawaban dari tts (teka teki silang) populer yang biasa muncul di koran kompas, jawa pos, koran tempo, dll.
This site is an open community for users to do sharing their favorite wallpapers on the internet, all images or pictures in this website are for personal wallpaper use only, it is stricly prohibited to use this wallpaper for commercial purposes, if you are the author and find this image is shared without your permission, please kindly raise a DMCA report to Us.
If you find this site value, please support us by sharing this posts to your own social media accounts like Facebook, Instagram and so on or you can also save this blog page with the title bahan untuk menambal gigi berlubang tts by using Ctrl + D for devices a laptop with a Windows operating system or Command + D for laptops with an Apple operating system. If you use a smartphone, you can also use the drawer menu of the browser you are using. Whether it’s a Windows, Mac, iOS or Android operating system, you will still be able to bookmark this website.





